INDEX
目次
歯を削らず、自然な白さへ
〜口元の印象を明るくするホワイトニング〜
ホワイトニングとは、歯の表面や内部に沈着した色素を分解し、本来の歯の白さを引き出す処置です。加齢や飲食物(コーヒー・紅茶・ワインなど)、喫煙による着色を改善し、清潔感のある明るい口元へ導きます。当院では、歯科医院で行うオフィスホワイトニング、ご自宅で進めるホームホワイトニング、両方を組み合わせたデュアルホワイトニングをご用意し、目的やライフスタイルに合わせてご提案します。歯を削らずに白くできるため、歯への負担を抑えながら、自然な仕上がりを目指したい方に適しています。

ラクーンデンタルクリニックのホワイトニングの特徴
目的に合わせて選べる
ホワイトニング
短期間で白さを
実感したい方に
オフィスホワイトニング
歯科医院で行うプロフェッショナルなホワイトニングです。高濃度の薬剤を使用し、拡大鏡を用いて正確に薬剤を塗布することで、歯の表面全体をムラなく白く仕上げます。専用の光を照射して薬剤の効果を高め、短時間でしっかりとした白さを実感できます。結婚式やイベントなどを控えている方にも人気の方法です。歯や歯ぐきへの刺激を最小限に抑え、安全性にも十分配慮しています。
※自由診療になります
自分のペースで
自然な白さへ
ホームホワイトニング
ご自宅で行えるホワイトニング方法です。歯科医院で作製した専用のマウスピースに薬剤を入れ、毎日一定時間装着してゆっくりと白くしていきます。オフィスホワイトニングに比べて即効性は控えめですが、白さが長持ちしやすいのが特徴です。通院の時間を取りにくい方や、自分のペースで進めたい方にもおすすめです。
※自由診療になります
即効性と持続性
デュアルホワイトニング
オフィスホワイトニングとホームホワイトニングを併用し、即効性と持続性の両方を実現する方法です。歯科医院での施術で短期間に効果を得ながら、自宅でのケアで白さをキープします。知覚過敏専用ジェルを併用することで、痛みを最小限に抑えながら高い効果を実感できます。イベントを控えて短期間で白くしたい方や、できるだけ長く効果を維持したい方に最適です。
※自由診療になります
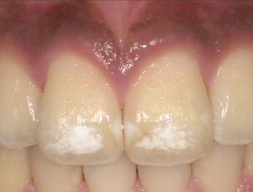
白い斑点が気になる方へ
ホワイトスポット治療
ホワイトスポットとは、歯の表面に見られる白い斑点や白濁のことです。通常のホワイトニングでは改善しにくい場合があります。当院では、歯をできるだけ削らず、周囲の歯の色となじませる治療を行い、自然で目立ちにくい仕上がりを目指します。歯の状態に応じて、ホワイトニングとの併用も可能です。
白さを長く保つための
アフターケア体制
ホワイトニング後の歯を守る
トータルケア
ホワイトニング後の歯は一時的にデリケートな状態になるため、当院ではトータルケアプログラムを実施しています。歯の再石灰化を促し、ホワイトニング後の歯質をしっかり守ることで、ツヤのある自然な白さを長期間維持します。
白さを維持するための
定期メンテナンス
白さを保つためには、定期的なメンテナンスが欠かせません。ラクーンデンタルクリニックでは、3〜6ヶ月ごとのチェックとクリーニングを推奨しています。生活習慣や飲食の影響で少しずつ着色が戻ることもありますが、定期的なケアで美しい口元を長くキープできます。
しみやすさに配慮したケア
ホワイトニング後の知覚過敏を防ぐために、フッ素塗布や歯質を強化する処置を行っています。これにより、歯の表面をコーティングし、外部からの刺激を軽減します。痛みが心配な方でも安心してホワイトニングを受けられる体制を整えています。
ご自宅でのケアまで丁寧に
サポート
ホワイトニング効果を長持ちさせるために、ご自宅でのケア方法を丁寧にお伝えしています。飲食による着色を防ぐコツや、歯に優しいケア用品の選び方などをアドバイスし、白く健康的な歯を維持できるようサポートします。
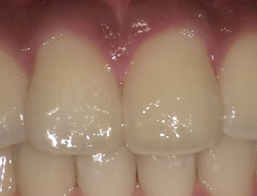
症例紹介
Before
After
治療前の不安をすべて解決します! ホワイトニングQ&A
ホワイトニングは痛みを感じますか?
知覚過敏を感じる方もいらっしゃいますが、当院では知覚過敏専用ジェルの併用やフッ素による歯質保護で、できるだけ痛みを抑えた施術を行っています。
どのくらい白くなりますか?
元の歯の色や生活習慣によって異なりますが、ほとんどの方が1回の施術でトーンアップを実感されています。
効果はどのくらい持続しますか?
平均して6ヶ月〜1年ほど白さを保つ方が多く、定期的なメンテナンスとホームケアでより長く維持することができます。
リスク・副作用について
ホワイトニングでは、施術後に一時的な知覚過敏が起こることがあります。これは歯の脱水や薬剤の刺激によるもので、多くの場合は数日以内に自然に治まります。また、人工物(詰め物・被せ物など)は白くならないため、必要に応じて色調の調整や再製作をご提案する場合があります。当院では、事前のカウンセリングと丁寧な説明を行い、安心して治療を受けていただけるよう努めています。
以下の患者様にはホワイトニング剤を使用できません。
- 妊娠中の方
- 無カタラーゼ症の方
- メタクリレート系ポリマー、メタクリレート系モノマー、エタノールに対する発疹、皮膚炎などの過敏症の既往歴、アルコールに対してアレルギーのある方
- 軽度でも気管支炎または喘息の方
- 光線過敏症の方
越谷市のラクーンデンタルクリニックでは、安全性と効果の両立を重視したホワイトニングで、自然で明るい白さを叶えます。ご希望の白さやライフスタイルに合わせたプランをご提案いたします。
